
Losing a tooth (or teeth) can be a shattering experience - emotionally and professionally.
Aside from the obvious problems of poor physical appearance and damaged self-esteem, missing teeth also cause subsequent dilemmas like loss of chewing ability or ineffective speech.
For almost 50 years, dental implants have been recognized by dental experts as an effective dental procedure of choice for teeth replacement.
Dental implants are substitutes for the roots of missing teeth. They can also serve as an anchor for other dental prostheses like crowns, bridges and dentures. Dental implants are fused in the jawbone and are not visible once surgically placed. They are uniquely stable, eliminating the need for removable or partial dentures.
We provide a full spectrum of surgical services and compassionate support for you and your family. Our team of dental experts offers special focus on Oral and Maxillofacial Surgery, giving out the highest calibre of surgical care for patients requiring bone grafts, implant placements and treatments for diseases and injuries to the teeth, jaws, mouth, bones and facial structures.


Not everyone is born with beautiful teeth. Crooked and misaligned teeth are known sources of self-consciousness, embarrassment and low self-esteem.
Dental braces are used to correct malocclusions (teeth that are crowded or crooked). For some, their teeth may be straight, but their upper and lower jaws may not meet properly. Correcting a bad bite and improperly aligned teeth are important not only for aesthetic reasons but also for proper oral health and function.
Crowded teeth are hard to clean. A bad bite can cause abnormal wear of tooth surfaces, undue stress on supporting gum tissues and bones and at times, difficulty in chewing and speaking.
Bite problems usually become obvious between ages 6 and 12, and orthodontic treatments often start at ages 8 and 14. But this doesn’t mean that adults aren’t good candidates for braces. Healthy teeth can be adjusted at any age. In fact, many orthodontic cases can be corrected as easily for adults as for children.
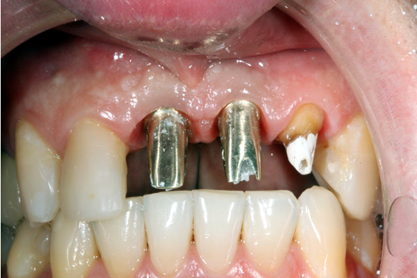
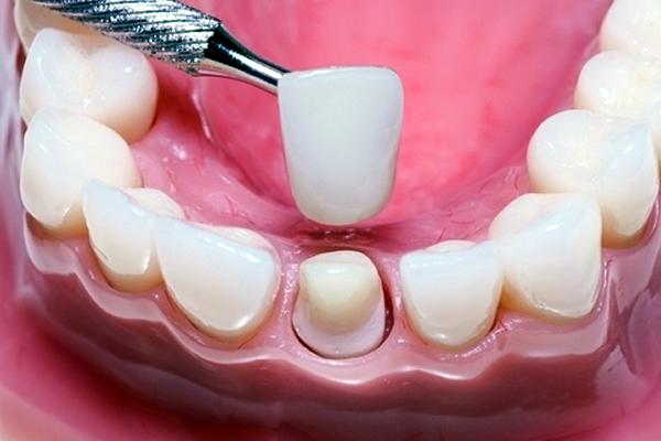
Over time, teeth can be damaged, cracked or weakened by decay. Dentists use a crown to entirely cover or "cap" a damaged tooth. Crowns are made to match the color of your natural teeth, and besides strengthening an impaired tooth, these can be used to improve your teeth’s appearance, shape or alignment.
Dental crowns can be fashioned from stainless steel, ceramic, acrylic, gold and metal alloys. Unlike removable devices such as dentures, crowns are cemented onto existing teeth or implants, and can only be removed by your dentist.
With good oral hygiene, crowns can last a lifetime. A crown may come loose or fall out if the underlying tooth is damaged by gum disease or tooth decay. While a crowned tooth does not require any special care, it is important to keep your gums and teeth healthy by brushing with fluoride toothpaste for two minutes twice a day and flossing daily. Also, remember that regular checkups and professional cleanings are just as necessary to make sure you maintain your optimum oral health.


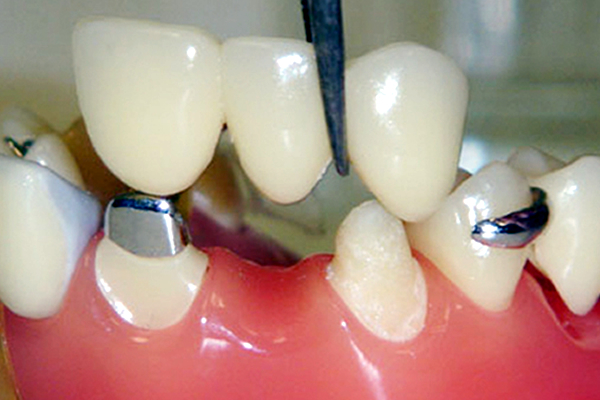
Dental bridges, also known as fixed removable dentures, literally bridge the gap created by one or more missing teeth.
A typical bridge is made up of two crowns (one on either side of the gap) and a false tooth/teeth in between. Bridges are attached to surrounding natural teeth or dental implants for support. The anchoring teeth are called abutment teeth and the false teeth are called pontics. Pontics can be made from porcelain, alloys, gold or a combination on materials.
If you have lost a tooth/teeth, bridges can restore your smile, your ability to properly speak and chew and maintain your facial structure. Bridges can also prevent your remaining teeth from shifting out of position.
Depending on which type of bridge your dentist suggests, its success depends on the foundation. This is why it’s vital to keep your remaining teeth strong and healthy. On the average, dental bridges can last five to seven years. With good oral hygiene and regular professional cleaning, a fixed bridge can even last for over a decade.
A 'root canal' is the term that refers to the natural cavity or space within the center of the tooth. It is made up of the pulp chamber which provides nutrients and nerves to each tooth and the 'canals' that connect to each other or to the surface of the root of the tooth.
A cavity in the tooth leaves an opening where bacteria can enter and multiply. Left without treatment, these bacteria cause infections and form pockets or abscesses filled with pus up at the roots of the tooth. This causes severe pain and swelling that could spread to other areas of the face or head. Serious infections bring about bone loss around the tip of the tooth's roots.
A root canal is a procedure done to treat and save a tooth that is damaged, infected or badly decayed.
Teeth can become damaged and infected due to severe decay, repeated dental procedures, cracks in the tooth or trauma to the face. Constant pain, swelling and tenderness of the gums, prolonged sensitivity to heat or cold and discoloration of the tooth are signs that one may need a root canal. A visit to the dentist will best determine the ways to deal with each particular case.


Everybody wants clean, white and healthy-looking teeth but as we get older our teeth get stained and eventually lose their luster.
There are a lot of factors like your diet (coffee, tea, soda) and lifestyle (smoking) that trigger the yellowing of your teeth. If you’ve been wanting to get rid of the unsightly color and stain on your teeth, you’ve come to the right place!
Millions of patients worldwide have enjoyed brighter, more youthful smiles with Zoom whitening treatment. We receive a lot of patients in and around Lahore who come to us for our in-office whitening treatment.
The entire chairside whitening process, including the preparation, can take up to 2 hours. Depending on the shade of your teeth prior to whitening, you can achieve a result of up to 5-8 shades brighter.
Tooth extraction or dental extraction is the removal of tooth from the mouth. This can also be the basis for future cosmetic dental treatments.
Extractions can be simple or surgically done. Simple extractions are usually performed when the tooth is visible, already loose and only require dental forceps to lift it after it has been rocked back and forth. On the other hand, surgical extraction involves the removal of teeth that cannot be easily accessed because they have not fully erupted or they have broken under the gums. This requires an incision and frequently, the tooth to be extracted are split into multiple pieces to be able to easily remove it.
When your dentist decides that a tooth has to be removed, he may either do it on your regular check up or schedule this procedure. He may then recommend cosmetic dental options thereafter. As for pain control, you will also be given the choice of oral sedation or inhalation sedation. But you need not worry about the pain, because we'll take care of it.


Most people would think of getting teeth whitening or perhaps veneers when cosmetic dentistry comes to mind. The good news is our team of specialist cosmetic dentists can do those and so much more.
Cosmetic dentistry aims to create a positive change in your teeth and enhance your smile. Dr. Mukarram Hussain Clinic can provide you with a refreshing, natural-looking smile that will make you look great and feel better about yourself.
Cosmetic dentistry can help you improve your smile by making your teeth whiter, reshaping teeth that don’t match the others, closing gaps between teeth, filling cavities with tooth-colored materials, repairing chips and rough spots with fillings that match and even covering broken teeth with porcelain crowns.
Visit us and let us help you discover the best dental cosmetic option that’s perfect for you!
Dental emergencies like toothaches or knocked out tooth can happen to anyone regardless of age.
Any obvious damage to a tooth - chips, fractures, lost fillings or broken crowns - should be treated as soon as possible. If you're not sure if a dental problem is an emergency, dentists offer this advice: If it hurts, it's an emergency. If you call us right away, our dental experts can repair the damage and prevent it from getting worse.
If you are in Lahore or anywhere in the Pakistan and you need specialized urgent dental care, you can reach Dr. Mukarram Hussain Clinic through our contact details.

14-D1, Gulberg-III,
Near Maisonette Hotel,
Lahore - Pakistan.
042.36400706, 36400707
mukarram72@hotmail.com
© 2018 Dental Surgery Associates
All Rights Reserved
Designed by SY Hassan